بالصور.. إنقاذ حياة " أربعيني " سقط على طاولة واخترق الزجاج رئته في سكاكا
منذ 8 سنة03319

علي العنزي
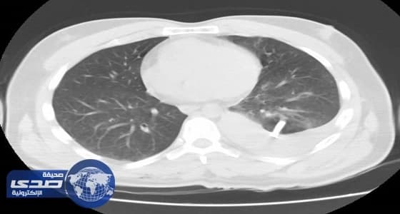
أنقذ فريق طبى بمستشفى الأمير متعب بن عبدالعزيز في سكاكا بالجوف، حياة مريض أربعيني، واستخراج شظايا زجاجية من رئة المريض؛ وذلك إثر سقوطه على طاولة زجاجية، مما تسبب في اختراق قطع وشظايا زجاجية للجدار الصدرى للمريض واختراق بعضها للرئة اليسرى، مما أدى إلى تمزقات بالرئة اليسرى، واسترواح هوائي دموي.
وقام الفريق الطبي بعمل عملية جراحية واستخرج الشظايا الزجاجية ، وخرج المريض من المستشفى بعد تماثله للشفاء.






