أدوية الضغط وعلاقتها بتورم اللثة
منذ 10 شهر02907

أميرة خالد
أوضح استشاري وأستاذ أمراض القلب وقسطرة الشرايين، الدكتور خالد النمر، أن هناك علاقة وطيدة بين بعض أدوية الضغط، وتورم اللثة.
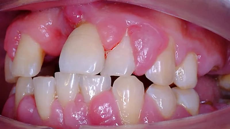
وأشار النمر في تغريدة نشرها على حسابه على منصة إكس، أت بعض أدوية الضغط تؤدي إلى تورم اللثة، مثل:حاصرات الكالسيوم CCB، ومثبطات ACE، وحاصرات ARB، وأكثر الحالات انتشارًا هي مع الأملودبين.
وتظهر أعراض تورم اللثة وزيادة حجمهت، عادةً بعد فترة من بدء العلاج، وقد تتراوح من تورم طفيف إلى تضخم ملحوظ في اللثة. قد يؤدي ذلك إلى صعوبة في تنظيف الأسنان، مما يزيد من خطر الإصابة بالتهابات اللثة.






