إحياء أمل سيدة في الانجاب بعد الحفاظ على رحمها بالمدينة المنورة
منذ 9 سنة05099

نايف السالم
قام فريق الأشعه التداخليه بالمستشفى السعودي الألماني بالمدينة المنورة برئاسة البروفيسور/أحمد سامي إستشاري الأشعه التداخلية وعدد من أطباء المستشفى بقسم الاشعة بإنقاذ رحم سيده في الثلاثين من العمر ولم تنجب من قبل .
عند حضور السيده الى المستشفى كانت تعاني من آلام شديدة في الحوض مع تورم بمنطقة الحوض.
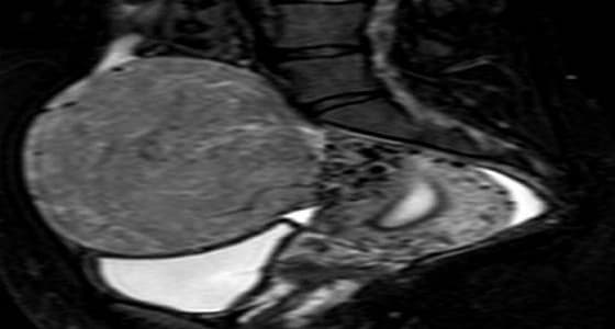
تم عمل أشعه موجات فوق صوتية ورنين مغناطيسي على الحوض وإتضح أن السيدة لديها ورم ليفي كبير جدا يضغط على الرحم ويتسبب في الإجهاض المتكرر ويحتوي على أوعيه دموية كثيرة وغزيرة.
تم حقن الأوعية الدموية المغذية للورم وسدها بالكامل و بذلك تم الحفاظ علي رحمها وأصبحت لا تعاني من اي الالم وإحياء أملها في الإنجاب بعد فضل من الله.





